Jogja Sleman Bantul Gunungkidul Kulon Progo Sport Jogja 24 Jam Weekend Jateng Nusantara Internasional Ekonomi Education Expo Ramadan Sosok Opini Visual Report Urban Legend

Pentingnya Scaling Gigi untuk Kesehatan Mulut Anda

Reren Indranila • Rabu, 2 Agustus 2023 | 22:50 WIB

 

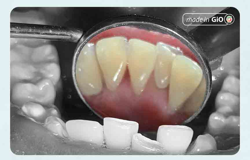
SCALING GIGI: Masyarakat bisa melakukan scaling gigi di klinik GiO Dental Care yang tersebar di beberapa kota seperti Jogjakarta, Magelang, Semarang, Jember, dan Denpasar. (GIO DENTAL)
SCALING GIGI: Masyarakat bisa melakukan scaling gigi di klinik GiO Dental Care yang tersebar di beberapa kota seperti Jogjakarta, Magelang, Semarang, Jember, dan Denpasar. (GIO DENTAL)

RADAR JOGJA - Setiap hari dalam melakukan aktivitas, makanan dan minuman masuk ke dalam rongga mulut untuk dicerna menjadi energi. Sisa makanan dan minuman yang menempel di gigi sebagian  dapat dibersihkan dengan menggosok gigi. Namun, plak yang bercampur dengan bakteri akan berubah menjadi karang gigi yang hanya dapat dibersihkan dengan tindakan scaling. Apabila tidak dibersihkan, karang gigi dapat menimbulkan berbagai dampak buruk. Berikut adalah penjelasan lebih lanjut mengenai scaling gigi.


Apa itu Scaling Gigi?
Scaling gigi adalah prosedur medis untuk menghilangkan plak dan karang gigi yang dilakukan oleh dokter gigi menggunakan alat khusus dan tidak dapat dihilangkan dengan sikat gigi biasa. Pada umumnya, prosedur scaling gigi tidak akan terasa sakit, namun pada beberapa orang scaling akan terasa ngilu. Hal ini biasanya dialami seseorang yang telah mengalami penurunan gusi sehingga akar gigi akan terkena alat scaling. Pada kasus ini biasanya dokter akan melakukan bius pada bagian yang sensitif.
 
Mengapa Scaling Gigi Penting?
Plak dan karang gigi adalah akumulasi bakteri dan sisa makanan yang menempel pada permukaan gigi. Jika dibiarkan, mereka dapat menyebabkan berbagai masalah kesehatan mulut, termasuk penyakit gusi, gigi berlubang, bahkan kehilangan gigi. Oleh karena itu, scaling gigi membantu mencegah terjadinya masalah gigi. 
 
Manfaat Jangka Panjang Scaling Gigi
Manfaat scaling gigi yaitu dapat memperbaiki penampilan gigi Anda, membantu mencegah bau mulut karena plak dan karang gigi adalah penyebab utama bau mulut dan pewarnaan pada gigi. Selain itu, scaling gigi dapat membantu mencegah kehilangan gigi dengan menjaga gusi dan tulang yang mendukung gigi tetap sehat. 

KESEHATAN GIGI: Manfaat scaling gigi yaitu dapat memperbaiki penampilan gigi dan membantu mencegah bau mulut. (GIO DENTAL FOR RADAR JOGJA)
KESEHATAN GIGI: Manfaat scaling gigi yaitu dapat memperbaiki penampilan gigi dan membantu mencegah bau mulut. (GIO DENTAL FOR RADAR JOGJA)

 
Perawatan Gigi setelah Scaling
Setelah prosedur scaling gigi, gigi dan gusi harus tetap dirawat dengan baik untuk mencegah penumpukan lebih lanjut dari plak dan karang gigi. Sikat gigi setidaknya dua kali sehari menggunakan pasta gigi yang mengandung fluoride serta penggunaan benang gigi apabila diperlukan untuk menghilangkan sisa makanan yang terselip di antara gigi. Selanjutnya rutin mengunjungi dokter gigi  minimal 6 bulan sekali untuk melakukan check up.


Scaling gigi adalah prosedur penting yang dapat memberikan berbagai manfaat yang baik, seperti memperbaiki penampilan, mencegah penyakit gusi, gigi berlubang dan kehilangan gigi. Para sayang GiO bisa melakukan scaling gigi di klinik GiO Dental Care yang tersebar di beberapa kota seperti Jogjakarta, Magelang, Semarang, Jember, dan Denpasar. Jadikan mulut dan gigi lebih sehat bersama GiO Dental Care! Jadwalkan kunjungan di Klinik GiO Dental Care sekarang juga. (ila)

KESEHATAN GIGI: Manfaat scaling gigi yaitu dapat memperbaiki penampilan gigi dan membantu mencegah bau mulut. (GIO DENTAL FOR RADAR JOGJA)
KESEHATAN GIGI: Manfaat scaling gigi yaitu dapat memperbaiki penampilan gigi dan membantu mencegah bau mulut. (GIO DENTAL FOR RADAR JOGJA)
Editor : Reren Indranila
#dental #Karang Gigi #gigi #Kesehatan #scaling gigi #scaling #kesehatan gigi